
Psoriáza je chronické kožní onemocnění charakterizované vlnovitým průběhem. Nejčastěji se psoriáza projevuje jako specifická kožní léze, která může být lokalizována na jakékoli oblasti kůže.
Počáteční psoriázu nelze vždy rozpoznat okamžitě. To je však možné, pokud věnujete pozornost charakteristickým příznakům včas. Pokud se včas poradíte s dermatologem, lze vývoj vyrážky zpomalit a zastavit. Proto je důležité vědět, jaké znaky naznačují přítomnost patologie.
Příčiny psoriázy. Počáteční fáze
V této věci neexistují žádná spolehlivá fakta. Psoriáza není plně pochopené onemocnění. Existují však známé faktory, které mohou přispět k jeho výskytu:
- genetická predispozice (mezi nejčastější faktory);
- dysfunkce imunitního systému (také často vyvolává nástup psoriázy);
- endokrinní problémy;
- nedávná streptokoková infekce (bolest v krku)
- přítomnost chronických onemocnění (zejména zánětlivých);
- špatné návyky, jako je závislost na alkoholu a cigaretách;
- častý stres.
Psoriáza se může objevit u lidí jakéhokoli pohlaví a věku. Častěji jsou však k ní náchylní lidé starší 25-30 let.
Příznaky počátečního stadia
U psoriázy v počáteční fázi jsou příznaky mírné. Můžete si jich však všimnout.
Abyste pochopili, jak psoriáza začíná, měli byste věnovat pozornost následujícím typickým příznakům:
- Zvýšená suchost a šupinatění pokožky. Člověk pociťuje kožní nepohodlí v loktech, kolenou, dolní části zad a pokožce hlavy. Tyto oblasti se však mohou případ od případu lišit.
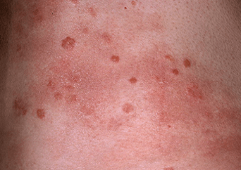
- Přítomnost specifických vyrážek. Pro psoriázu jsou typické malé růžovočervené papuly (ploché, mírně vyvýšené prvky vyrážky nad úrovní kůže) s jasnými hranicemi, postupně se navzájem splývající.
- Šupiny na povrchu vyrážky. Mají stříbrnou nebo bělavou barvu. Snadno se odstraňují z vyrážek, ale to může vést k tvorbě prasklin nebo vzniku nepříjemných subjektivních pocitů.
U některých typů psoriázy („pustulární“) nemusí být vyrážka ve formě skvrn, ale ve formě malých konvexních útvarů s hnisavým obsahem uvnitř. Na fotografii počáteční formy psoriázy můžete vidět, jak se různé typy lupénky projevují a jejich příznaky.
U psoriázy nehtů vyrážka postihuje především ploténku. V tomto případě jsou počáteční příznaky následující:
- tvorba malých prohlubní na nehtech (příznak „náprstku“)
- změny ve struktuře nehtové ploténky - nehet se zahušťuje a stává se křehkým
- změna barvy nehtové ploténky - nehet může získat žlutý odstín, pod nehtem se objevují oranžovo-červené skvrny
- ztluštění kůže pod nehtem;
- uvolněnost desky a její odlupování (ne vždy);
- malé tmavé podélné čáry pod nehtovou ploténkou (nespecifický příznak, vyplývající z krvácení pod nehtovou ploténkou)
- zarudnutí nehtové dírky.
Fotky příznaků počátečního stadia lupénky vám pomohou lépe se orientovat.
První příznaky jsou dosti nejasné a neprojevují se zřetelně. Navíc jsou podobné příznakům některých jiných dermatologických onemocnění, což může vést k obtížím v diagnostice. Z tohoto důvodu je nesmírně důležité okamžitě se objednat v nemocnici - pro přesnější diagnózu.
Všechna stádia psoriázy
Existují tři hlavní fáze vývoje onemocnění:
- Počáteční nebo progresivní fáze. Na kůži se objevují četné malé papuly. Charakteristickým rysem této fáze onemocnění je výskyt vyrážek v oblastech nedávného kožního traumatu; jak vypadá psoriáza v počátečních fázích, je vidět na fotografii.
- Stacionární. Vyrážky se zvětší a začnou se navzájem slučovat a tvoří velké plaky s nejasnými obrysy. Žádné nové prvky vyrážky se neobjevují, ale na povrchu vyrážky se tvoří velké množství šupinek.
- Finále. Vyrážka se začne snižovat a postupně sama odezní. Může zanechat mírnou pigmentaci, která časem sama zmizí, nebo oblast světlejší barvy ve srovnání s okolní zdravou pokožkou.

Často vyvstává otázka - „svědí psoriáza v počáteční a poslední fázi“? U psoriázy je svědění necharakteristickým příznakem; nemusí existovat.
S každou exacerbací prochází nemoc všemi třemi stádii v pořadí. Pokud je však léčba zahájena na samém začátku první fáze, lze zabránit progresi vyrážky.
U většiny lidí jsou příznaky cyklické. Obvykle během dalšího propuknutí přetrvávají několik týdnů a pak postupně slábnou a mizí. Forma počínající psoriázy určuje, jak vypadají fotografie a skutečné příznaky
Léčba počátečního stadia psoriázy
Když zjistíte první podezřelé příznaky, musíte kontaktovat dermatologa.
Počáteční stadium psoriázy vyžaduje minimální léčbu léky. Hlavně vnější.
Obvykle se používá:
- Nehormonální masti a krémy. Tvoří základ terapie, protože je lze použít v jakékoli fázi onemocnění, včetně remise. Působí jemně a často nemají žádné vedlejší účinky. Zmírňují olupování, zarudnutí, subjektivní pocity a zpomalují zánětlivé procesy.
- Hormonální masti a krémy. V počátečním stádiu onemocnění se používají zpravidla při těžkých zánětech nebo zvláštním typu psoriázy (exsudativní). Tyto léky se mohou rychle vyrovnat se zánětem v postižené oblasti kůže. Hormonální masti a krémy však nejsou vhodné pro nepřetržité používání, protože při delším používání mohou způsobit nežádoucí účinky. Fotografie nejlépe demonstrují rozsah toho, jak psoriáza začíná – u dospělých i dětí.
- Hydratační gely a krémy. Zklidněte a zjemněte pokožku. Lze použít jako doplňkovou péči.
- Vitamínové komplexy. Dodatečné opatření na podporu tělesné síly a odolnosti vůči nemocem. Především vitamin A se používá při lupénce, protože ovlivňuje buněčné dělení kožních buněk a proces tvorby šupin. V progresivní fázi onemocnění nejsou multivitaminové komplexy zpravidla předepisovány.
- Fyzioterapeutické procedury. Zvláště účinné v počátečních fázích. Častěji je předepisována fototerapie (UVB nebo PUVA), stejně jako excimerová expozice UV záření a laseru.
Ve většině případů jsou léky předepsány lékařem. Několik léků lze použít v kombinaci. Pokud jsou příznaky onemocnění mírné, můžete se obejít bez perorálních léků a používat pouze externí nehormonální přípravky.
Prevence počátečního stadia psoriázy
Preventivní opatření pomáhají oddálit projevy onemocnění a tím prodloužit dobu remise. Pokud budete dodržovat pravidla prevence přímo během záchvatu, pomohou snížit příznaky a urychlit zotavení.
Klíčová preventivní opatření jsou:
- Eliminace stresu. Nebo jeho minimalizace. Stres velmi narušuje fungování nervového systému, což vážně ovlivňuje celkový stav těla. Abyste se lépe vyrovnali se svým emočním rozpoložením, můžete se přihlásit do kurzu psychoterapie. Třídy mohou být individuální nebo skupinové.
- Strava. Strava by měla být zdravá, vyvážená a obsahovat hypoalergenní potraviny. Základem jídelníčku jsou bílkoviny, syrová zelenina a kysané mléčné výrobky. Měli byste se vyhýbat nezdravým potravinám, jako jsou sladkosti a pečivo. Vítaná nejsou ani smažená a uzená jídla, kořeněná a příliš slaná jídla a konzervy. Na internetu lze najít fotografie lupénky na počátku onemocnění a po nastolení jídelníčku.
- Pijte hodně tekutin. Obvykle se doporučuje vypít 1,5-2 litry čištěné vody denně. Je však důležité zaměřit se na své pocity a neřídit se slepě doporučeními.
- Vitamínové komplexy. Je vhodné, aby vitamíny předepsal lékař - po testech.
- Režim. Jídlo, vstávání a chození do postele by mělo probíhat podle plánu. To usnadňuje tělu udržovat správnou aktivitu. Je vhodné vstát a jít spát brzy.
- Čerstvý vzduch. Je důležité chodit každý den na čerstvý vzduch. Snižuje stres a celkově je pro tělo prospěšný.
- Péče o pleť. Vyplatí se pravidelně používat změkčující a hydratační krémy. Zejména po vodních procedurách.
- Pohodlné oblečení a boty. Vyrobeno z přírodních měkkých materiálů. Boty musí správně sedět a oblečení musí být volné.
- Pravidelné konzultace s lékařem. A vyšetření. To vám pomůže sledovat stav vašeho těla a zvýšit pravděpodobnost prevence psoriázy.
Fotografie příznaků kožní psoriázy v počáteční a následné fázi tedy jasně ukazují nepříjemnost tohoto onemocnění. Proto se vyplatí dbát na prevenci.
Je důležité si uvědomit, že v naprosté většině případů se lupénka projevuje v důsledku silného stresu. Proto je v první řadě důležité pečovat o harmonický stav mysli a denní režim.

















